Invisalign en sobremordida
Si alguna vez has oído que Invisalign no puede corregir problemas de mordida como la sobremordida, sin duda esa información está demasiado desactualizada, ya que en Ponce & Carpintero corregimos a diario casos de sobremordida con invisalign en Sevilla.
La ortodoncia invisible ha evolucionado muchísimo en los últimos años y, gracias a la experiencia acumulada con millones de pacientes, hoy sabemos que sí funciona, y muy bien de hecho.
Pero claro, todo dependerá de ciertos factores, como la edad, la gravedad de la sobremordida y cómo se gestione el tratamiento.
Por eso, en esta ocasión vamos a ver casos prácticos, en dónde pacientes con sobremordida fueron tratados con Invisalign, consiguiendo resultados fantásticos. Vamos a desgranar cómo se hizo y qué podemos aprender de esta experiencia.
¿Qué es la sobremordida?
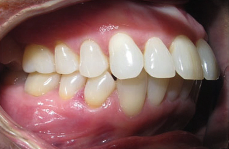
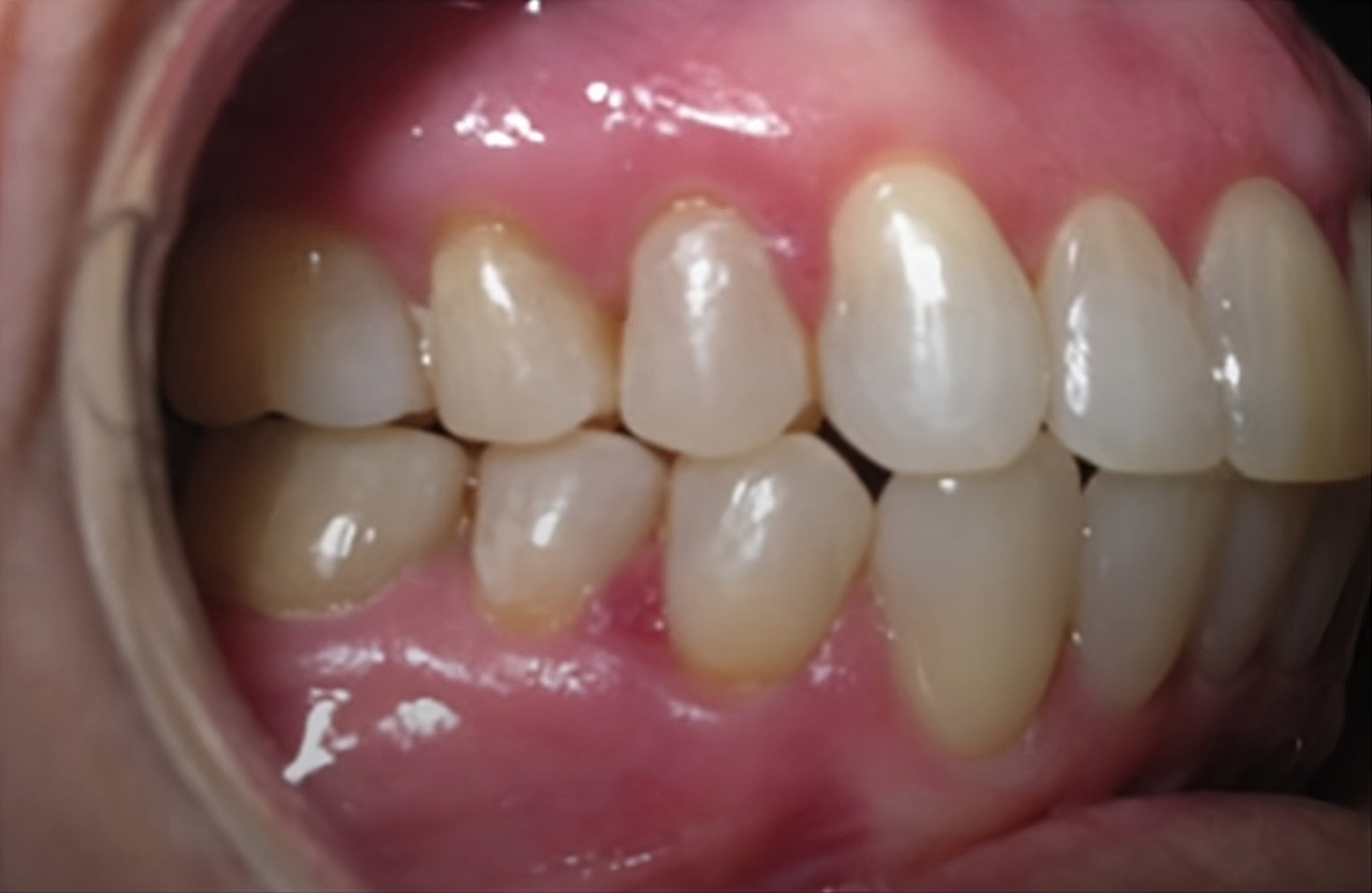
La sobremordida es uno de los problemas dentales más comunes y, a la vez, de los más incómodos. Básicamente ocurre cuando los dientes superiores cubren en exceso los dientes inferiores. Esto no solo afecta a la estética, sino que también puede generar problemas funcionales, como desgaste dental, molestias al masticar e incluso dolor en la mandíbula.
En casos como el que vemos en la imagen, los pacientes llegan con una sobremordida considerable que necesita ser corregida. Además, como ocurre en la mayoría de los casos, los pacientes buscan una solución discreta y cómoda. Ahí es donde el invisalign suele entrar en acción.
El tratamiento: ¿Cómo ayuda Invisalign a corregir la sobremordida?
La clave de este tratamiento suele estar en la conjunción de 2 elementos: los alineadores invisibles y el uso de elásticos.
- Los alineadores Invisalign: Estos alineadores personalizados ejercen presión sobre los dientes para moverlos de manera controlada. En el caso de una sobremordida, el objetivo es ir moviendo los dientes superiores hacia atrás y los inferiores hacia adelante, poco a poco.
- Uso de elásticos: Para casos como este, los elásticos son fundamentales. Se utilizan en combinación con los alineadores y cumplen una función muy similar a la que tienen con los brackets tradicionales. Ayudan a corregir la posición de la mandíbula, ajustando progresivamente la sobremordida.
Y no solo eso, sino que este método también ofrece comodidad y flexibilidad. Al ser removibles, la paciente pudo quitárselos para comer, cepillarse los dientes y mantener una higiene perfecta durante todo el tratamiento. ¡Punto a favor!


¿Qué resultados consigue invisalign en casos de sobremordida?
Tras varios meses de tratamiento, la sobremordida de los pacientes se corrige con éxito. No solo se recupera una sonrisa equilibrada y funcional, sino que también se puede disfrutar del proceso sin las molestias que pueden generar los brackets tradicionales.
De hecho, un gran número de pacientes suelen destacar la comodidad del tratamiento, ya que se imaginan pasar por las molestias populares que generan los brackets, y que tantas personas han padecido. En este caso, los alineadores no suelen causar irritación en las encías ni en las mejillas, algo que suele preocupar a quienes buscan corregir su mordida. Además, Invisalign permite seguir con la rutina diaria sin problemas: comiendo lo que se quiere, practicando deporte y sin las posibles visitas de urgencia al ortodoncista que a veces generan otros métodos.
Como solemos decir “la clave está en la constancia del paciente y en usar los alineadores como se indica”.
¿Qué podemos aprender de los casos de sobremordida con invisalign?
La experiencia que hemos ganado a través de tantos casos de sobremordida con Invisalign, nos dejan en claro que en estos casos es vital que haya 3 principios básicos:
- Un buen diagnóstico inicial: No todas las sobremordidas son iguales, y el tratamiento debe adaptarse a cada caso.
- Compromiso del paciente: Invisalign requiere llevar los alineadores al menos 20-22 horas al día y ser constante con el uso de los elásticos.
- La experiencia del ortodoncista: Un buen ortodoncista que sepa cuándo combinar herramientas, como los elásticos o aparatos adicionales, marca la diferencia.
¿Invisalign es la única opción?
Aunque Invisalign es uno de los tratamientos de ortodoncia invisible más conocidos, no es la única alternativa disponible. En Clínica Ponce & Carpintero, contamos con una solución igual de efectiva, pero con ventajas adicionales: los Alineadores Ponce ©.
Estos alineadores están diseñados y fabricados en nuestra propia clínica, aprovechando más de 20 años de experiencia en ortodoncia invisible y la última tecnología en fabricación. Esto nos permite ofrecer una opción personalizada, rápida y económica que se adapta perfectamente a las necesidades de cada paciente.
¿Por qué elegir los Alineadores Ponce?
Alineadores Ponce ©
Los Alineadores Ponce son una excelente alternativa a Invisalign. Lo importante es encontrar la opción que mejor se ajuste a tus necesidades y objetivos.

100% Estéticos: Son completamente transparentes, por lo que resultan prácticamente invisibles.

Fabricación más rápida: Al producirlos en nuestra clínica, los tiempos de entrega se reducen considerablemente, entre 3 y 10 días dependiendo del caso. Aunque en algunos casos, es posible incluso empezar el tratamiento el mismo día de la primera consulta.

Más económicos: Al contar con un proceso de fabricación propio, logramos reducir los costes sin sacrificar calidad.
En resumen, Invisalign es una opción real y efectiva
Si tienes una sobremordida y creías que la ortodoncia invisible de Invisalign, o los Alineadores Ponce, no eran para ti, piénsalo 2 veces. La experiencia de pacientes como los que hemos visto son un claro ejemplo de que la ortodoncia invisible puede ofrecer resultados excelentes, incluso en problemas más complejos.
Por supuesto, cada caso es único y merece una evaluación personalizada. Así que si estás pensando en corregir tu sobremordida, no dudes en solicitarnos una primera consulta gratuita. La tecnología ha avanzado, y hoy puedes mejorar tu mordida sin renunciar a la comodidad ni a la estética durante el proceso.





