Curetaje Dental en Sevilla
¿Notas que últimamente te sangran las encías durante el cepillado? Si la respuesta es afirmativa y temes cepillarte los dientes por este motivo, es el momento de empezar a preocuparse. Si tienes sangrado, inflamación y sensibilidad en las encías, son señales de alerta de una posible periodontitis avanzada. Pero, “¿y qué puedo hacer ahora?”, te estarás preguntando. La técnica que puede ayudarte a parar esta enfermedad se llama curetaje dental, un sencillo tratamiento que puede salvar tus encías y evitar que pierdas tejido e incluso, piezas dentales.
Continúa la lectura donde explicamos en detalle el proceso del curetaje dental, los beneficios de realizarlo, los cuidados a tener en cuenta, así como los resultados que se obtienen con esta técnica. Si a lo largo de este artículo te identificas con estos síntomas y señales, es momento de pedir una cita con tu dentista. En nuestra clínica dental en Sevilla vemos este tipo de casos a diario, y somos conocedores de la preocupación que suscita en los pacientes ver este sangrado a diario, por lo que no te preocupes, porque todo tiene solución. Vamos a ver paso a paso qué debes analizar y qué debes hacer.
¿Qué es un curetaje dental?
El curetaje dental no es más que una limpieza con mayor profundidad de lo que se conseguiría con una limpieza bucal normal. Con el curetaje dental lo que se busca es eliminar la placa bacteriana y el sarro acumulado por debajo de la línea de las encías, causante de la destrucción del tejido y el hueso que sujeta los dientes.
Para explicarlo de un modo sencillo, podríamos decir que el curetaje dental es un proceso de restauración de las encías, ya que se eliminan los elementos no deseados y se favorece a una correcta adhesión al diente. Este proceso es fundamental para detener el avance de la enfermedad periodontal o piorrea, una afección importante que, si no es tratada a tiempo y de la forma adecuada, puede dar como resultado la pérdida de piezas dentales.

¿Cómo se hace un curetaje dental?
Ahora que empiezas a saber qué es un curetaje dental y los principales motivos por los que se suele emplear, queremos explicarte cómo se realiza para que pierdas el miedo. El curetaje dental se lleva a cabo en 5 simples pasos que no te supondrán ningún tipo de dolor ni molestia:
Puede darse el caso que tengas los síntomas que hemos descrito anteriormente, pero esto no implica que tengas que tener esta enfermedad periodontal. Es por ello que, en primer lugar, se revisa el estado de las encías mediante una exploración clínica detallada para, a continuación, realizar una radiografía donde se evalúa el daño en el hueso y la profundidad de las bolsas periodontales.
Al tratarse de una limpieza más profunda de lo habitual, es posible que algunos pacientes puedan sentir algo de molestia, así que para evitar cualquier malestar durante el proceso, se aplica anestesia en la zona a tratar, asegurando un procedimiento completamente indoloro.
Se procede a la eliminación de la placa y el sarro acumulados en las raíces de los dientes con instrumentos especiales como curetas y ultrasonidos. El objetivo es erradicar la infección y permitir que las encías cicatricen correctamente, por lo que este punto es estrictamente necesario realizarlo con detenimiento y cuidado.
Una vez realizado el raspado de la suciedad acumulada, se utilizan soluciones antisépticas y, en algunos casos, antibióticos locales para eliminar cualquier resto bacteriano, favoreciendo, de esta forma, la regeneración de los tejidos.
Finalizado el proceso, el periodoncista debe verificar el estado de las encías y proporcionar las indicaciones específicas según el caso concreto sobre higiene, alimentación y cuidados post-tratamiento para una buena recuperación.
El curetaje dental puede realizarse en uno o varios cuadrantes de la boca según las necesidades de cada paciente. Generalmente, cuando hay que atacar más de un cuadrante, el tratamiento se puede dividir en varias sesiones para asegurar una limpieza más profunda y completa. Además, de esta forma, se consigue generar una menor molestia al paciente.

¿El curetaje dental es peligroso?
No, el curetaje dental no es un procedimiento peligroso. El curetaje dental es muy seguro siempre y cuando lo realice un profesional con experiencia. El objetivo del curetaje dental es eliminar el sarro acumulado debajo de las encías para evitar problemas mayores, como la pérdida de piezas dentales o infecciones más graves.
Es cierto que algunas personas pueden notar cierta sensibilidad en los dientes o una leve inflamación después del tratamiento, pero esto es temporal y desaparece en pocos días. En casos muy raros, si no se siguen las indicaciones del dentista, podría haber una pequeña infección o molestias prolongadas, pero con una buena higiene y los cuidados adecuados, el riesgo es mínimo.
Siempre solemos decir que el curetaje dental es mucho menos agresivo de lo que las personas que sufren estas molestias se imaginan. Muchos de ellos llegan con miedo, pensando que les va a doler o que puede dañar sus dientes, pero después del tratamiento se dan cuenta de que no era para tanto. De hecho, lo que realmente daña los dientes y las encías es no tratar a tiempo la enfermedad periodontal.
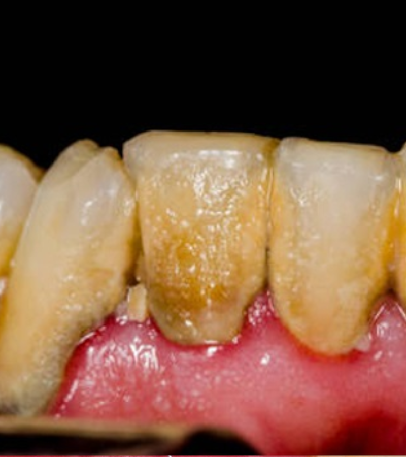
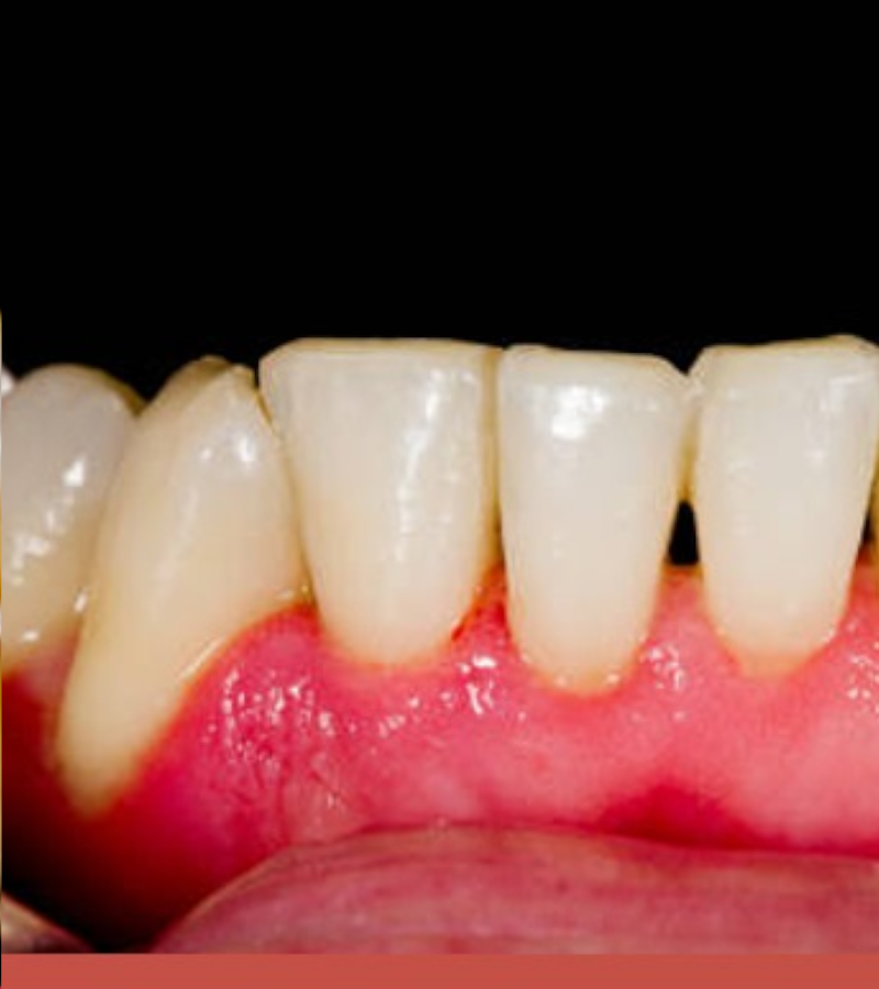
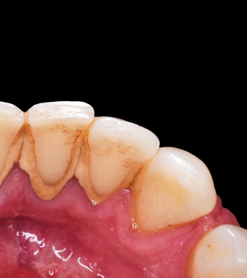
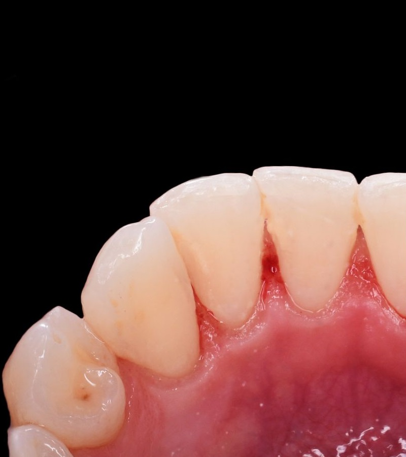
Curetaje dental antes y después




Curetaje dental en Sevilla, salvemos tu sonrisa
La salud de tus encías es clave para mantener una sonrisa fuerte y saludable a lo largo de los años. No hablamos solo de algo estético, sino de de un bienestar general. La enfermedad periodontal avanza de manera silenciosa y, cuando sus síntomas se hacen evidentes, ya es posible que haya causado serios problemas en el tejido y el hueso que sostienen tus piezas dentales.
Si has llegado hasta aquí es porque te preocupa la salud de tu boca. Puede ser que notes que tus encías están inflamadas, que sangran con facilidad o que tu aliento no es tan fresco como antes. La buena noticia es que, con un diagnóstico a tiempo y un tratamiento adecuado, este problema tiene solución.
En Clínica Ponce y Carpintero, sabemos que cada caso es único. Nuestro equipo especializado en periodoncia evaluará tu situación, te explicará en detalle el proceso y te ofrecerá un tratamiento personalizado para que recuperes la salud de tus encías lo antes posible.
No esperes a que el problema siga avanzando. Solicita tu primera consulta gratuita y déjanos ayudarte a encontrar la mejor versión de tu sonrisa.
Pide tu cita hoy y da el primer paso hacia unas encías sanas.


