Encías retraidas: Causas y soluciones
¿Notas que tus dientes parecen más largos que antes? ¿Te sangran las encías o sientes más sensibilidad al tomar algo frío o caliente? Todo esto puede deberse a un problema bastante común: las encías retraídas.
PREVENCIÓN
La detección temprana de la encía retraída puede marcar la diferencia entre un tratamiento sencillo y una intervención compleja.
La buena noticia es que la retracción encías tiene solución, sobre todo si se detecta a tiempo. Desde Ponce & Carpintero, como tu dentista en Sevilla de confianza te vamos a explicar por qué se retraen las encías, qué síntomas pueden aparecer y qué opciones de retracción de encías tratamiento existen para evitar que vaya a más.
Retracción de encías: ¿Qué es?
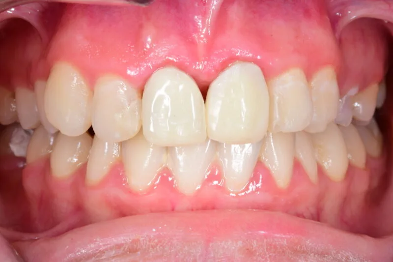
La retracción de encías ocurre cuando el tejido que cubre y protege la base de los dientes se va desplazando hacia atrás, dejando parte de la raíz dental al descubierto. Lo normal es que las encías recubran la raíz por completo, pero si se retraen, esa zona queda más sensible y expuesta.
El problema no es solo estético. La raíz del diente no tiene esmalte que la proteja, así que se vuelve más vulnerable a caries, sarro e infecciones. Además, con el tiempo, la retracción puede afectar al hueso que sujeta el diente y provocar sensibilidad o incluso movilidad dental.
Cuando las encías se retraen, perdemos la primera línea de defensa natural de nuestros dientes.

¿Por qué se retraen las encías? 9 causas comunes
Las retracción de encías tiene causas variadas, y muchas veces se combinan entre sí creando un efecto acumulativo. Porque se retraen las encías es una pregunta frecuente que tiene múltiples respuestas, de hecho, podemos distinguir hasta nada menos que 9 motivos habituales:
1. Encías retraídas por cepillado agresivo y técnica incorrecta
Cepillarse los dientes con demasiada fuerza o con un cepillo de cerdas duras puede dañar el tejido de las encías y hacer que se retraigan. Es un error muy común pensar que cuanto más fuerte se cepilla, más limpio queda todo. En realidad, un cepillado agresivo puede hacer más mal que bien.
Consejo profesional: Utiliza movimientos suaves y circulares, nunca horizontales con fuerza excesiva.
2. Pérdida de encía por tratamientos de ortodoncia
Durante un tratamiento de ortodoncia, especialmente si se aplica demasiada fuerza o si hay un mal control del movimiento dental, es posible que las encías retrocedan. Esto se debe a que los dientes se mueven dentro del hueso, y si no hay suficiente encía o soporte óseo, ese tejido puede retraerse.
Es fundamental un seguimiento periodontal durante cualquier tratamiento ortodóncico para prevenir esta complicación.
3. Retracción de encías por piercing y traumatismos bucales
Un piercing en el labio o la lengua puede estar en contacto constante con las encías, provocando pequeñas heridas o roces repetitivos. También pueden aparecer retracciones por golpes, mordeduras o el uso continuo de instrumentos o prótesis mal ajustadas.
Los piercings orales son una de las causas más evitables de retracción gingival en jóvenes.
4. Encías retraídas por enfermedad periodontal avanzada
La periodontitis es una infección de las encías que destruye poco a poco el tejido y el hueso que rodea los dientes. Cuando no se trata a tiempo, una de las consecuencias más visibles es la retracción de encías. La enfermedad periodontal es, de hecho, la principal causa de pérdida dental en adultos.
5. Efectos del tabaco en la salud gingival
El tabaco afecta la salud de las encías de varias formas: reduce el flujo sanguíneo, debilita el sistema inmune y favorece la acumulación de placa. Todo esto hace que las encías se inflamen, se debiliten y se retraigan con más facilidad.
Dato importante: Los fumadores tienen hasta 6 veces más riesgo de desarrollar enfermedad periodontal.
6. Predisposición genética y antecedentes familiares
La genética también juega un papel crucial. Si tus padres o hermanos han tenido problemas de encías retraídas, es posible que tú también tengas una predisposición mayor a sufrir retracción, aunque mantengas una buena higiene.
7. Bruxismo: el enemigo silencioso de las encías
El bruxismo (rechinamiento o apretamiento de dientes) genera una presión excesiva sobre las encías y el hueso de soporte. Con el tiempo, esta tensión puede provocar retracción gingival, sobre todo en las zonas que más sufren esa fuerza.
El bruxismo nocturno puede causar más daño en 8 horas que un cepillado incorrecto en semanas.
8. Medicamentos que afectan la salud gingival
Algunos medicamentos, como los anticonvulsivos, los inmunosupresores o ciertos tratamientos para la hipertensión, pueden provocar alteraciones en las encías. En algunos casos causan inflamación, pero en otros, retracción.
9. Cambios hormonales en mujeres
Los cambios hormonales durante la pubertad, el embarazo o la menopausia pueden afectar a la salud de las encías, haciéndolas más sensibles y propensas a inflamarse o retraerse. Durante estos períodos es especialmente importante mantener una higiene rigurosa.

Diferentes tipos de retracción de encías
La retracción no siempre avanza igual en todas las personas. A veces solo se ve afectada una pequeña parte de la encía, mientras que en otros casos la raíz queda muy expuesta y el daño es más notorio. Aquí te explicamos las dos formas más comunes:

Retracción de encías leve
En este caso, la retracción de encías leve se caracteriza porque la encía se ha retraído ligeramente, dejando al descubierto una mínima parte de la raíz del diente. No suele causar dolor, pero puede generar algo de sensibilidad y, sobre todo, es una señal de aviso.
La buena noticia: Si se detecta a tiempo, se puede corregir con buenos hábitos de higiene, un cepillado más suave y revisiones periódicas con el dentista.
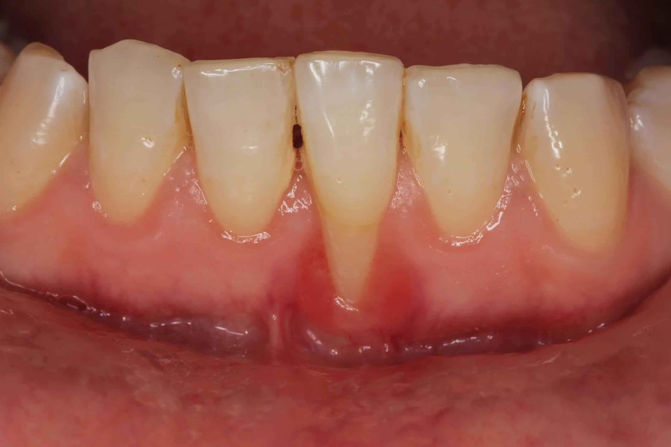
Retracción de encías grave
La retracción de encías grave es mucho más visible y problemática. Se expone una gran parte de la raíz, lo que suele venir acompañado de:
En estos casos, el tratamiento suele requerir técnicas quirúrgicas especializadas como injertos de encía para recuperar el tejido perdido.
En casos graves, cada día de retraso en el tratamiento puede significar más tejido perdido de forma irreversible.

Encias retraidas antes y despues


Retracción de encías: tratamiento
Cuando las encías se retraen, es importante actuar cuanto antes. Existe una solución para cada caso de retracción de encías adecuada para cada caso. Hay distintos tratamientos según el nivel de retracción y su causa, desde técnicas quirúrgicas hasta cambios en la higiene bucal diaria. Estos son los más habituales:
Injerto de encías: la solución definitiva
Es uno de los tratamientos más efectivos cuando la pérdida de tejido es importante. Consiste en tomar una pequeña muestra de encía del propio paciente (normalmente del paladar) y colocarla en la zona afectada.
Beneficios del injerto:
- Cubre la raíz expuesta completamente.
- Protege el diente de futuras caries.
- Mejora la estética de la sonrisa.
- Reduce la sensibilidad dental.
Cirugía reconstructiva para encías retraídas
Existen técnicas quirúrgicas avanzadas que no requieren injerto, como los colgajos de reposicionamiento. En estos casos, el propio tejido cercano se moviliza para cubrir parte de la raíz dental. Suelen aplicarse cuando todavía hay encía suficiente alrededor del diente y el problema no es demasiado extenso.
Las técnicas microquirúrgicas actuales permiten resultados más predecibles y menos molestias postoperatorias.
Curetaje y alisado radicular (desinfección profunda)
Este tratamiento se basa en una limpieza muy profunda de la zona afectada para eliminar por completo la placa bacteriana, el sarro y cualquier foco de infección. No es invasivo y se suele aplicar en retracción de encías leve o como paso previo a otros tratamientos quirúrgicos.
El curetaje encías retraídas puede mostrar mejorías notables, especialmente cuando se combina con un mantenimiento periodontal adecuado.
Tecnología láser y ultrasónica avanzada
Cuando las bacterias están muy adheridas a la raíz, puede utilizarse tecnología láser o instrumentos ultrasónicos para eliminarlas de forma más precisa. Esta tecnología de vanguardia:
- Elimina bacterias de manera más efectiva.
- Reduce la inflamación significativamente.
- Favorece la regeneración natural del tejido.
- Minimiza las molestias durante el tratamiento.
Protocolo de higiene específico para prevenir recidivas
Como evitar la retracción de encías es fundamental una vez tratado el problema. La mejor manera de evitar que el problema avance (o que vuelva a aparecer) es mantener una rutina de higiene cuidadosa:
- Usar un cepillo suave con técnica correcta.
- Evitar la presión excesiva durante el cepillado.
- Complementar con hilo dental o irrigadores bucales.
- Visitas regulares al dentista cada 4-6 meses.
- Control del bruxismo con férulas de descarga.
- Abandono completo del tabaco.
¿Puedo llegar a recuperar mis encías retraídas?
Esta es una pregunta muy frecuente y la respuesta dependerá de múltiples factores: la causa, el grado de retracción y el estado general de tus encías.
Casos con buen pronóstico
Si la retracción encías se debe a un cepillado demasiado agresivo, a un piercing o ha aparecido al terminar una ortodoncia, es probable que se pueda tratar y mejorar significativamente. En estos casos, el tejido puede regenerarse parcialmente o cubrirse mediante técnicas especializadas.
Casos complejos
Si la causa es una periodontitis avanzada, la situación es más complicada, ya que destruye el hueso que sostiene los dientes, y sin hueso no es posible recuperar completamente la encía. En estos casos, el tratamiento se centra en frenar el avance del problema y evitar más pérdida de tejido.
Retracción de encías: solución natural ¿Es efectivo?
La retracción de encías solución natural es un tema controvertido. Aunque no existe una forma natural de regenerar las encías una vez que se han retraído, sí hay opciones que pueden ayudarte a frenar el avance del problema y a mejorar la salud de tu boca. Algunos remedios caseros pueden aliviar molestias leves o reducir la inflamación:
Los remedios naturales pueden complementar, pero nunca sustituir, el tratamiento profesional.
- Cepillado suave pero eficaz con técnica Bass modificada.
- Uso diario de hilo dental o cepillos interdentales.
- Enjuague bucal específico para encías sensibles.
- Revisiones regulares con el dentista.
Importante: Si tus encías retraídas ya están establecidas, estas soluciones naturales no las van a regenerar. Lo que pueden hacer es mejorar el entorno bucal y prevenir más daño, pero solo un tratamiento profesional puede ayudarte a recuperar el tejido perdido o, al menos, cubrir las raíces expuestas.
No pospongas más el cuidado de tus encías
Las enfermedades periodontales pueden ser complejas de resolver si no se tratan a tiempo. Pero por suerte, la prevención sigue siendo la mejor herramienta que tenemos para proteger el cuidado y bienestar de nuestra boca.
Si tienes dudas sobre tus encías retraídas, ven a vernos. En Ponce & Carpintero te ofrecemos una primera consulta gratuita para valorar el estado de tus encías y asesorarte sobre la solución para la retracción de encías que mejor se adapte a tu caso específico. No esperes a que el problema avance: actúa ahora y protege tu sonrisa.


