¿Qué es la sobremordida y cómo tratarla?
La sobremordida es un problema dental bastante común que, aunque muchas veces pasa desapercibido, puede afectar significativamente tu calidad de vida. Seguramente has oído hablar de ella, o tal vez incluso la padeces sin saberlo. Básicamente, la sobremordida ocurre cuando los dientes superiores cubren de forma excesiva a los dientes inferiores al cerrar la boca.
Si bien una leve sobremordida es normal y está presente en la mayoría de las personas, cuando este desajuste es más pronunciado, puede traer consigo una serie de inconvenientes. Por ejemplo, es posible que pienses que se trata únicamente de un problema estético, pero la realidad es que también puede tener un impacto en funciones tan básicas como masticar correctamente. Por suerte, existen diferentes formas de tratarla, dependiendo de la gravedad y del momento en que se detecte. Desde la ortopedia en niños hasta la cirugía ortognática en adultos, la solución está al alcance de todos. ¡Así que si notas que tienes algún grado de sobremordida, no dudes en consultarlo!
¿Qué es la sobremordida?
La sobremordida es una maloclusión dental que se caracteriza por el solapamiento vertical de los dientes superiores sobre los inferiores. En otras palabras, cuando cierras la boca, los dientes de arriba cubren demasiado los de abajo.
Esta condición puede ser leve, cuando los dientes superiores apenas cubren un tercio de los inferiores, o mucho más grave, llegando incluso a ocultar por completo los dientes inferiores.
Este no es un problema únicamente estético, la sobremordida puede generar incomodidad y problemas funcionales en tu día a día. Las causas de este desajuste pueden ser varias, siendo las más comunes la genética y ciertos hábitos adquiridos en la infancia, como chuparse el dedo o el uso prolongado del chupete.
Cuando hablamos de genética, nos referimos a la forma y el tamaño de los huesos de la mandíbula y los dientes, que se transmiten de generación en generación. Es decir, si en tu familia hay antecedentes de sobremordida, es posible que tú también la desarrolles.
En los casos más leves, la sobremordida puede parecer inofensiva, pero cuando es más pronunciada, puede generar molestias serias y requerir un tratamiento específico. Estos tratamientos varían desde la ortodoncia hasta intervenciones quirúrgicas en casos más extremos. Por ello, si notas que tus dientes superiores cubren más de la mitad de los inferiores, lo más recomendable es que acudas a un especialista para que evalúe tu situación y determine el mejor tratamiento para ti.
Síntomas de la sobremordida
Detectar una sobremordida puede ser complicado, especialmente porque un pequeño grado de sobremordida es normal en la mayoría de las personas. Sin embargo, cuando esta condición se vuelve más pronunciada, empiezan a aparecer ciertos síntomas que pueden afectarte en tu día a día. A continuación, te detallo algunos de los síntomas más comunes asociados a la sobremordida profunda o severa:
- Dificultad para abrir o cerrar la mandíbula por completo: Si notas que al intentar abrir o cerrar la boca sientes cierta resistencia o incomodidad, puede ser un indicio de sobremordida.
- Masticación dolorosa: El proceso de masticar puede volverse doloroso, lo que puede dificultar disfrutar de las comidas o incluso limitar los alimentos que consumes.
- Dificultad para morder trozos de comida: Notar que te cuesta morder alimentos como sándwiches o frutas puede ser otro signo de que tienes sobremordida.
- Dolor de mandíbula o trastornos de la articulación temporomandibular (ATM): Este dolor es bastante común en personas con sobremordida, y en algunos casos, puede llevar a desarrollar problemas más serios en la articulación que conecta la mandíbula con el cráneo.
- Desafíos con el habla: La sobremordida puede interferir en la forma en que articulas ciertas palabras, provocando dificultades al hablar.
- Mala estructura facial: En casos más severos, la sobremordida puede alterar la estructura de la cara, generando un perfil menos armónico.
Si identificas alguno de estos síntomas en tu día a día, es importante que consultes con un especialista. La sobremordida no es solo un problema estético, sino que puede tener un impacto real en tu salud y bienestar general.
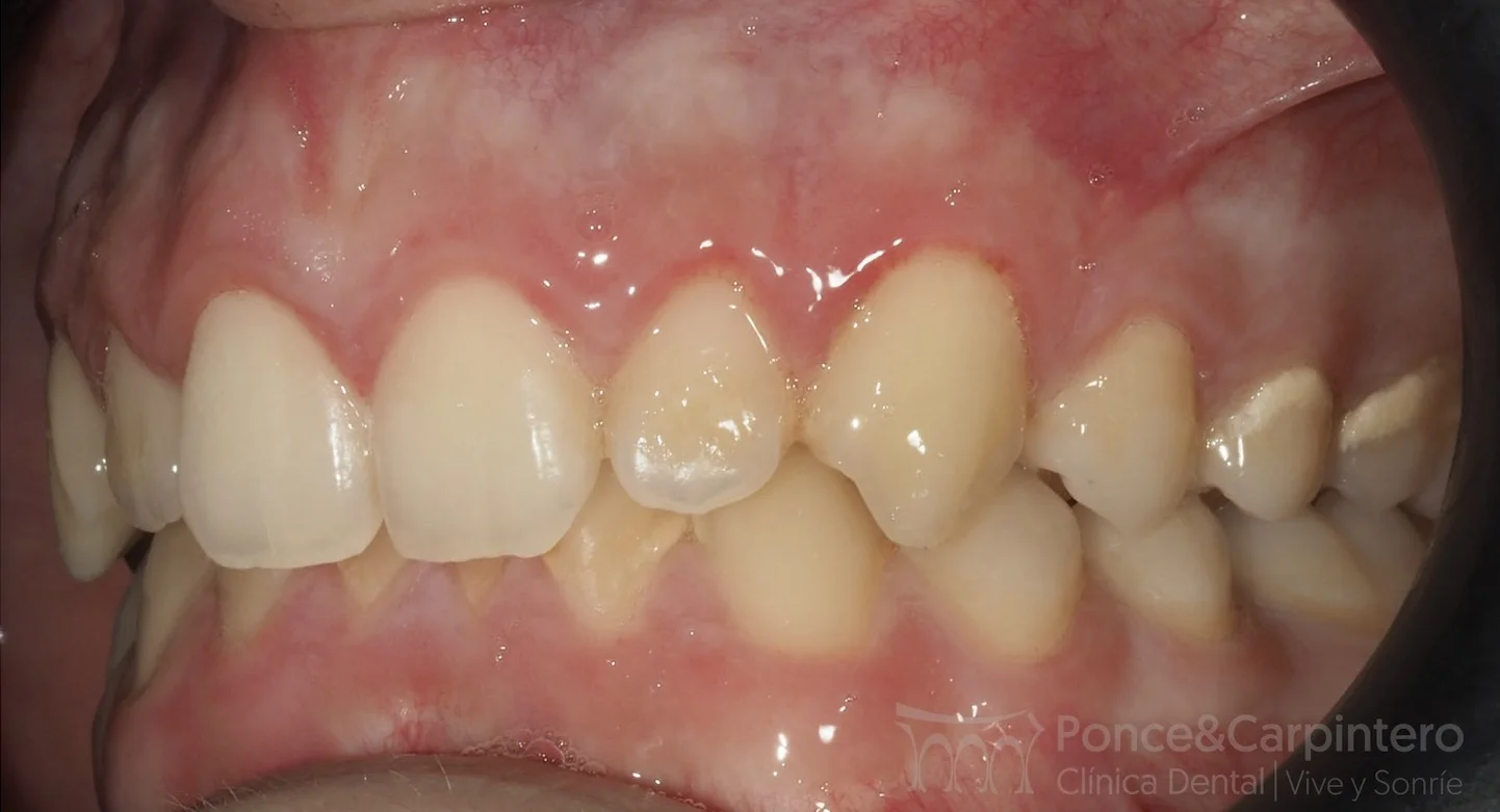
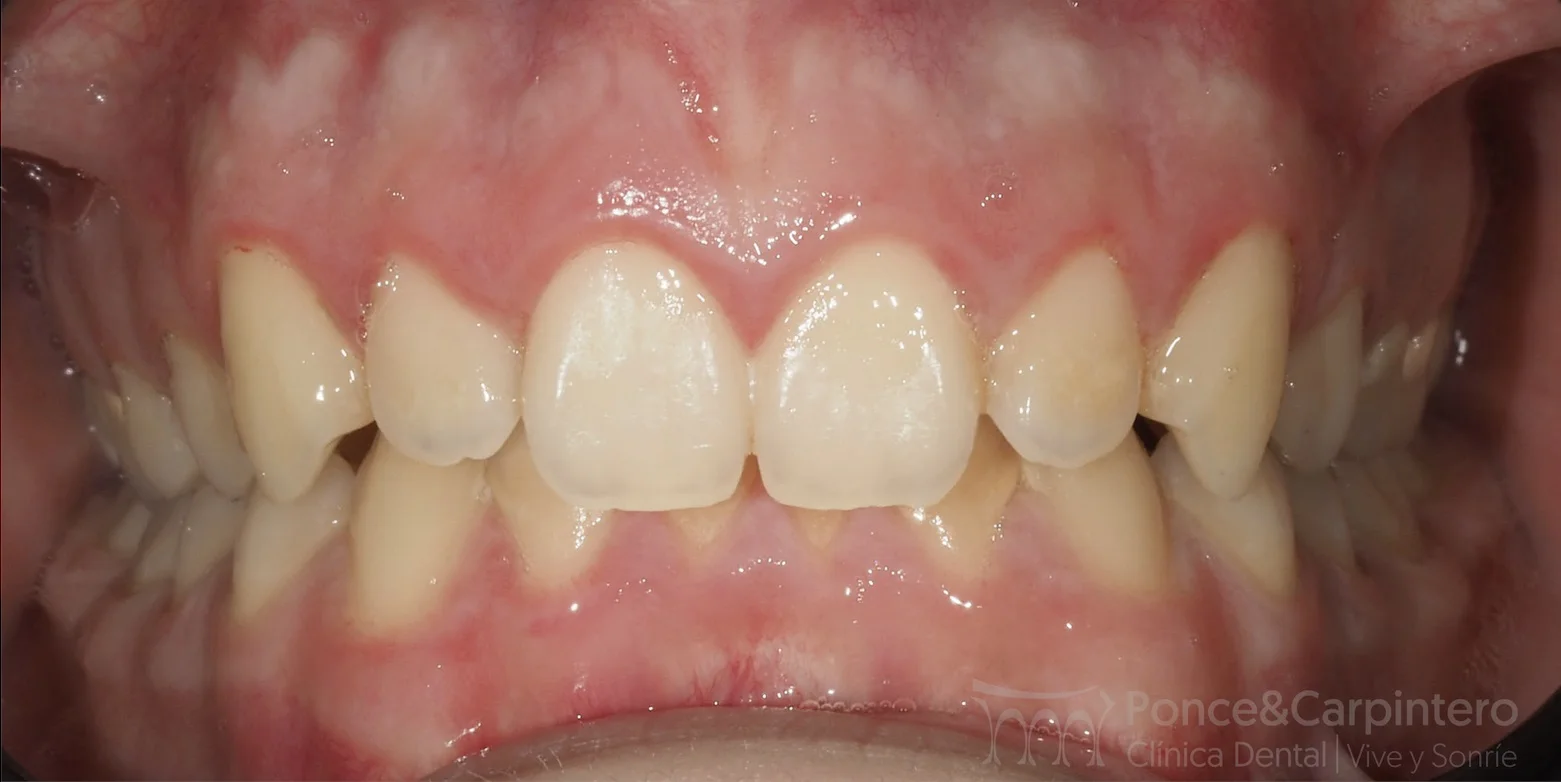
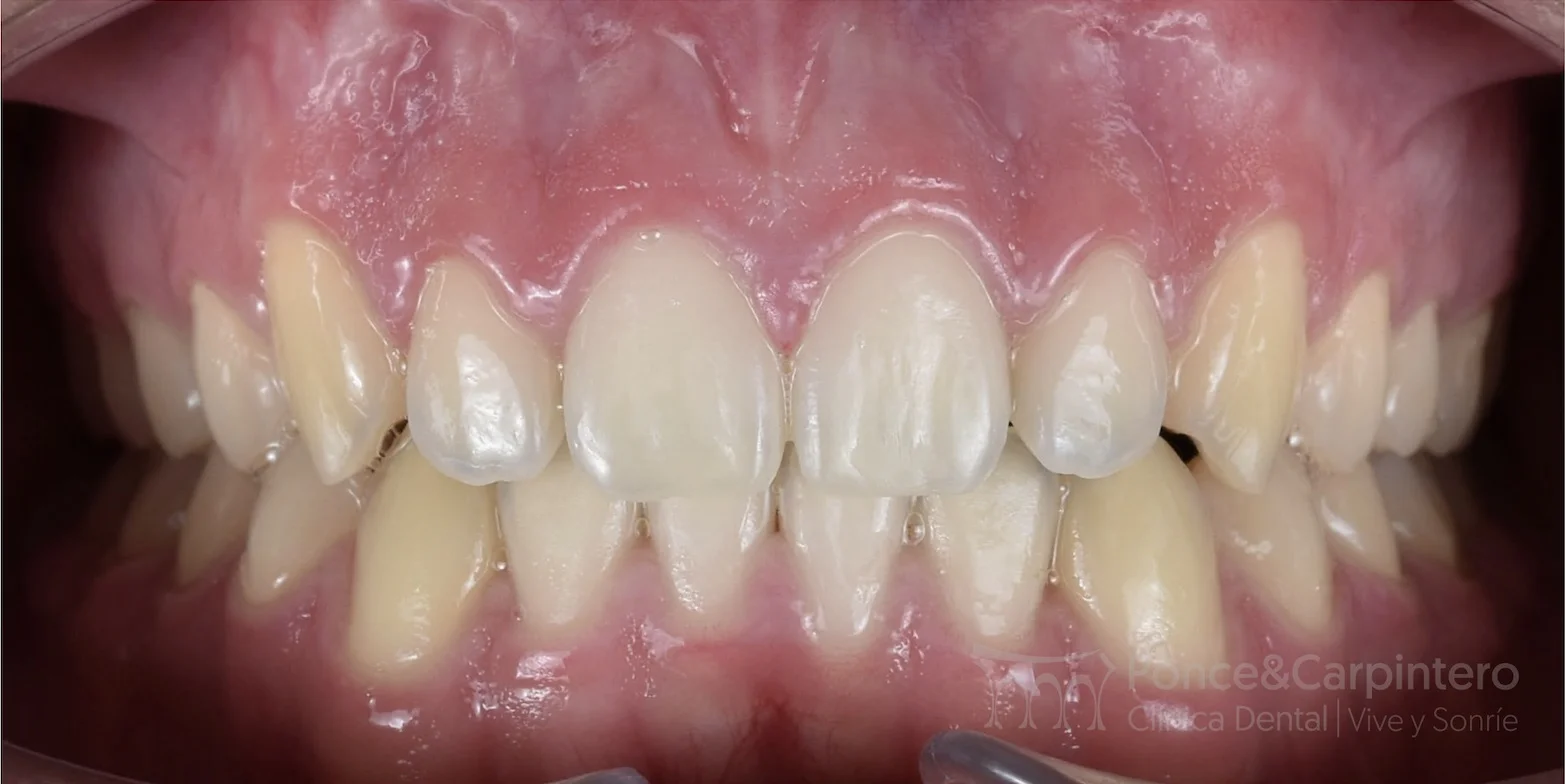
Sobremordida antes y después




Causas de la sobremordida
La sobremordida puede tener diversas causas, que se pueden clasificar principalmente en dos grupos: las relacionadas con factores genéticos y las derivadas de hábitos adquiridos, especialmente durante la infancia. Aquí te detallo las causas más comunes de este problema:
Genética
La forma y el tamaño de la mandíbula y los dientes son, en muchos casos, el resultado de la genética. Esto significa que si en tu familia hay antecedentes de sobremordida, es probable que también la desarrolles. Los problemas esqueléticos, como una mandíbula inferior demasiado pequeña o una maxila superior demasiado grande, pueden dar lugar a una sobremordida. Además, nacer con dientes adicionales o tener dientes que son demasiado grandes para el espacio disponible en la boca también pueden contribuir a este problema.
Factores dentales comunes
Los hábitos adquiridos durante la infancia también juegan un papel crucial en el desarrollo de la sobremordida. Algunos de los más comunes incluyen:
- Uso prolongado del chupete o del biberón: Estos hábitos, especialmente si se prolongan más allá de los 3 o 4 años, pueden alterar la posición de los dientes y contribuir al desarrollo de una sobremordida.
- Chuparse el dedo: Este hábito ejerce presión sobre los dientes frontales, haciendo que se desplacen hacia adelante y creando una sobremordida.
- Protrusión lingual: Cuando la lengua empuja los dientes hacia adelante al tragar, en lugar de presionarlos contra el paladar, puede alterar la alineación dental y contribuir a la sobremordida.
Otros factores que pueden influir
Además de los factores genéticos y los hábitos adquiridos, existen otros factores que pueden causar o agravar una sobremordida:
- Traumatismo mandibular: Una lesión en la mandíbula puede alterar su alineación y provocar sobremordida.
- Quistes y tumores: La presencia de quistes o tumores en la boca o la mandíbula puede alterar la alineación de los dientes y generar sobremordida.
- Trastorno de la articulación temporomandibular (ATM): Problemas en la articulación que conecta la mandíbula con el cráneo también pueden contribuir al desarrollo de una sobremordida.
Entender las causas de la sobremordida es el primer paso para prevenirla o tratarla de manera efectiva. Si identificas alguno de estos factores en ti o en tus hijos, no dudes en consultar a un especialista.
Riesgos de la sobremordida
La sobremordida, especialmente cuando es profunda o severa, no es solo una cuestión estética; puede conllevar una serie de riesgos y complicaciones que afectan tanto tu salud bucal como tu bienestar general. Aquí te presento algunos de los riesgos más importantes asociados a la sobremordida:
- Apiñamiento dental: Cuando los dientes no tienen suficiente espacio, tienden a apiñarse, lo que no solo afecta la estética de tu sonrisa, sino que también puede dificultar la higiene bucal.
- Mayor probabilidad de caries y enfermedad periodontal: El apiñamiento dental puede hacer que sea más difícil limpiar adecuadamente entre los dientes, lo que aumenta el riesgo de caries y enfermedad periodontal. Las áreas de difícil acceso pueden acumular placa y bacterias, provocando infecciones en las encías y otros problemas dentales graves.
- Bruxismo mandibular: La sobremordida puede causar tensión excesiva en la mandíbula, lo que a menudo lleva a rechinar los dientes, conocido como bruxismo. Este hábito, generalmente inconsciente, puede desgastar los dientes y causar dolor en la mandíbula.
- Desgaste de los dientes: Con el tiempo, la sobremordida puede causar un desgaste anormal en los dientes, especialmente en los incisivos. Esto puede resultar en la necesidad de tratamientos dentales adicionales, como coronas o incluso implantes.
- Apariencia desfigurada: En casos de sobremordida severa, la mandíbula superior sobresale demasiado, lo que puede dar lugar a una apariencia desfigurada que afecta la autoestima y la confianza en uno mismo. Esto puede tener un impacto significativo en la vida social y profesional.
- Dificultades al masticar y morder: La sobremordida puede hacer que morder y masticar alimentos sea complicado, aumentando el riesgo de atragantamiento y lesiones en la boca.
- Impedimentos del habla: La sobremordida puede interferir en la pronunciación de ciertas palabras, causando impedimentos del habla como ceceo o silbidos al hablar.
- Apnea del sueño y problemas respiratorios: En algunos casos, la sobremordida puede contribuir a problemas respiratorios, como la apnea del sueño, que afecta la calidad del descanso y puede tener consecuencias graves para la salud.
- Mala higiene dental: Dado que la sobremordida puede dificultar la limpieza adecuada de los dientes, es común que las personas que la padecen tengan mal aliento crónico, conocido como halitosis, y un mayor riesgo de infecciones en la boca.
- Enfermedad periodontal avanzada: Si no se trata, la sobremordida puede llevar a la enfermedad periodontal, una afección grave que puede resultar en la pérdida de dientes y aumentar el riesgo de enfermedades más graves, como ataques cardíacos o accidentes cerebrovasculares.
Si tienes sobremordida, es importante que consideres estos riesgos y tomes medidas para tratarla. Consultar a un especialista a tiempo puede prevenir muchas de estas complicaciones y mejorar tu salud y calidad de vida.
Tratamientos para la sobremordida
La sobremordida es una maloclusión que, dependiendo de su gravedad, puede requerir diversos enfoques terapéuticos. El tratamiento adecuado no solo depende del grado, sino también de factores como la edad del paciente y las características particulares de su mandíbula y dentadura.
1. Ortodoncia
La ortodoncia es la primera línea de tratamiento para la mayoría de los casos de sobremordida. Este método se basa en el uso de aparatos que aplican presión constante sobre los dientes, moviéndolos gradualmente a la posición deseada. Existen varias opciones de ortodoncia que pueden adaptarse a las necesidades y preferencias de cada paciente:
- Brackets metálicos: Los brackets tradicionales de metal son los más comunes y eficaces para corregir sobremordidas. Funcionan moviendo los dientes lentamente hacia la posición correcta mediante la aplicación de presión continua. Aunque son visibles, su eficiencia los convierte en una opción preferida para muchos pacientes.
- Brackets de cerámica: Estos brackets son similares a los metálicos en cuanto a funcionamiento, pero están hechos de un material que se mimetiza con el color de los dientes, haciéndolos menos perceptibles. Son una opción ideal para aquellos que buscan un tratamiento menos visible sin comprometer la eficacia.
- Brackets linguales: Estos brackets se colocan en la parte interna de los dientes, lo que los hace completamente invisibles desde el exterior. Son una excelente opción para pacientes que desean un tratamiento estético, aunque pueden ser menos cómodos y más difíciles de limpiar.
- Brackets autoligables: Estos brackets modernos no requieren ligaduras para mantener el arco en su lugar, lo que reduce la fricción y puede acelerar el proceso de corrección de la sobremordida. También son más fáciles de limpiar y pueden resultar más cómodos para el paciente.
2. Alineadores Invisibles
Los alineadores invisibles son una de las alternativas más populares, y la que más nos suelen solicitar en nuestra clínica especializada en alineadores invisibles en Sevilla cada día. Estos dispositivos transparentes y removibles se fabrican a medida para cada paciente y funcionan moviendo los dientes de forma gradual mediante una serie de alineadores que se cambian cada pocas semanas. Entre sus principales ventajas destacan:
- Son más cómodos y de quita y pon: A diferencia de los brackets, los alineadores se pueden quitar para comer y para la higiene bucal, lo que facilita el mantenimiento de una buena salud dental durante el tratamiento.
- Son mucho más estéticos: Son prácticamente invisibles, lo que los convierte en una opción atractiva para adultos y adolescentes preocupados por la apariencia de su sonrisa durante el tratamiento.
- Más versátiles: Aunque los alineadores son muy efectivos para corregir sobremordidas leves a moderadas, en casos más complejos, pueden combinarse con otros tratamientos ortodónticos para lograr los mejores resultados.
3. Ortodoncia Interceptiva (para Niños)
La ortodoncia interceptiva es un enfoque preventivo dirigido a niños entre 6 y 11 años, cuando los huesos maxilares aún están en desarrollo. Este tratamiento tiene como objetivo guiar el crecimiento de la mandíbula y corregir problemas maxilares que podrían contribuir a una sobremordida en el futuro. Entre los aparatos utilizados se encuentran:
- Disyuntores palatinos: Se utilizan para ensanchar el paladar cuando el maxilar superior es demasiado estrecho, lo que permite un mejor alineamiento de los dientes permanentes a medida que erupcionan.
- Máscaras faciales: En casos de retrognatismo mandibular, donde la mandíbula inferior está demasiado retraída, se puede utilizar este aparato para estimular su crecimiento hacia adelante y mejorar la relación entre las mandíbulas.
El tratamiento interceptivo puede durar entre 9 y 18 meses, dependiendo de la severidad del problema y la respuesta del niño al tratamiento.
4. Extracción Dental
En ciertos casos de sobremordida causada por apiñamiento dental, la extracción de uno o más dientes puede ser necesaria para crear el espacio suficiente que permita a los dientes restantes alinearse correctamente.
Este procedimiento es común cuando los dientes son demasiado grandes para el espacio disponible en la mandíbula o cuando hay dientes adicionales que contribuyen a la maloclusión. La extracción suele ser seguida por un tratamiento ortodóntico para mover los dientes restantes a sus posiciones ideales.
5. Cirugía Ortognática
La cirugía ortognática se reserva para los casos más graves de sobremordida, especialmente cuando el origen del problema es esquelético. Esto significa que la sobremordida es causada por un desajuste significativo entre los maxilares superior e inferior, que no puede corregirse únicamente con ortodoncia. La cirugía ortognática implica realizar correcciones en los huesos maxilares, y suele combinarse con el uso de brackets o alineadores antes y después de la operación para asegurar un alineamiento dental óptimo.
Este procedimiento es más común en adultos, ya que el crecimiento óseo ha terminado y no es posible modificar la estructura de los huesos mediante otros métodos. La cirugía ortognática puede mejorar significativamente la funcionalidad y la estética de la mandíbula, pero es un tratamiento invasivo que requiere una cuidadosa planificación y un período de recuperación considerable.
6. Expansión Palatina
En casos donde el maxilar superior es demasiado estrecho para acomodar todos los dientes, se puede recurrir a un tratamiento de expansión palatina. Este procedimiento se realiza mediante un aparato que ensancha gradualmente el paladar, creando más espacio en la boca para que los dientes se alineen correctamente. Es un tratamiento común en niños y adolescentes, pero también puede aplicarse en adultos, aunque con resultados más limitados.
El tratamiento de la sobremordida es un proceso que requiere una correcta evaluación por parte de un ortodoncista para determinar el mejor enfoque según las características individuales de cada paciente.
Desde soluciones menos invasivas como los alineadores invisibles y la ortodoncia convencional, hasta procedimientos más complejos como la cirugía ortognática, existen múltiples opciones para corregir este problema y mejorar tanto la funcionalidad como la estética de la sonrisa. Si sufres este problema, y buscas la mejor solución para tu caso de sobremordida, ponte hoy mismo en contacto con nosotros y te ayudaremos a resolverlo cuánto antes para que luzcas tu mejor sonrisa.





